日々の暮らしの中で思った事を徒然に書いていこうと思っています。
画像はクリックしていただくと大きくなります。
×
[PR]上記の広告は3ヶ月以上新規記事投稿のないブログに表示されています。新しい記事を書く事で広告が消えます。
マリーンズに連勝して
気分よくお迎えしたライオンズ・・
ドラゴンズはファームから帰ってきたばかりの山井くん。
ライオンズは男前の若手の実力派の岸くん。どちらも好調で
なかなかの投手戦だなぁって感じで楽しく観戦してました。
そしたら・・
Twitterに昔からのネット友達から、こんなつぶやきが・・
>これからナゴヤドーム。野球観戦じゃないけど
>これまで僕が中日戦を観戦した時、中日は一度も勝ったことが無いんだけど
>接近だけだとどうよ
いきなり荒木くんがエラーしてランナーを進めてしまって犠打で1点。
その後、6回の表にもエラーがらみで2点を失ってしまいました。
極めつけは8回の表、3人目の高島くんが4ボールを連発して
安打も浴びるは押し出しもあるはで5失点・・
打線は岸くんの前に沈黙で1点も奪う事ができず
0−9で完封負けしてしまいました・・ ><;)/
岸くん、いいなぁ・・
うちの奥さんは気合いの入ったドラファンで
僕よりもナゴヤドームに通ってたり、ドラゴンスの掲示板で
活発に書き込みしたりもしてるんですけど、いつも平服だったんです。
それが先日から気が変わったみたいで
背番号5のTシャツが欲しいと言いだしまして
でも、和田くんの小さいサイズのTシャツって何故か製造されてなくて
さんざ探した挙げ句、黒字にピンクのCDTシャツを買ってきました。
ああ、もうひとつ跳びきれないのかなと思ったので
小さいサイズの "5"のホームのユニフォームをプレゼントしたら
嬉々として着てくれました・・♪
楽しく観戦してたら、セサルくんのファインプレー?に対して
ラジオ観戦してらっしゃったTwitterのドラファンの方から書き込みが・・
解説の高木守道さんとアナウンサーの間のやりとりです。
アナ: ファインプレーでいいですか?高木さん
髙木: 好きにしてください。
この話を左隣の奥さんに話してたら
右隣で観戦してらっしゃったご家族のお父さんがバカ受け・・
上の画像は、その気のいいお父さんの両手です・・ ^^)/
ドームって楽しい・・♪
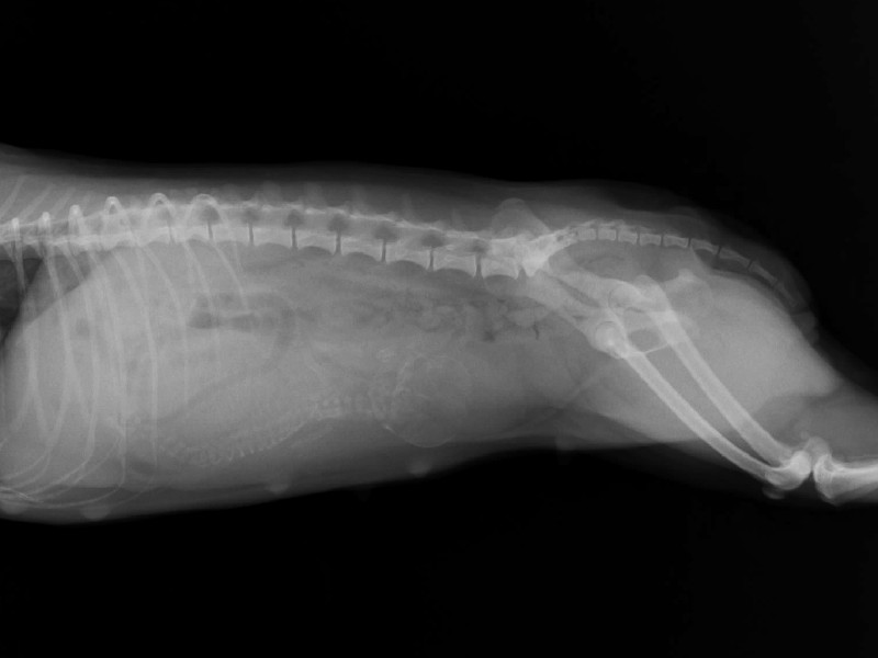
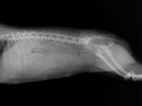
急にお腹が大きくなって、ぐるぐる鳴るようになったので、獣医さんにいってきました。
レントゲンを撮ってもらったら、良く育ってる大きくて元気な子が1わんでした。
エヴァは骨盤の産道が広いのでギリギリ自然分娩できるかも知れないけど
帝王切開になる可能性は低くないと言われてしまいました・・ ^^;)/
予定日は来週の月曜日から木曜日あたりなんだそうです。
出産の兆候として3つ教えてもらってきました。
1)食欲が極端に落ちて、まったく食べなくなる。
2)膀胱が圧迫されるので、小刻みに少量のおしっこをするようになる。
3)体温が1度ほど下がる。
メグで2度出産を経験してますけど、やっぱり心配でドキドキしてます。
ドラゴンズの応援どころではなくなってきてしまいました・・ ^^;)/
動物病院も換えました。近所では名医で有名なところに・・
かかりつけだったところが頼りなくて・・
サポート体制が違いました。
交流戦も残りわずか・・
いい感じで勝ってきていたドラゴンズなんですけど
吉見くん、チェンくん、中田くんの3本柱で3連敗してしまいました。
いかんっ!!これはいかんっ!!
今週の金曜日からナゴヤドームでロッテと西武と4連戦・・
この後は6月24日の横浜戦までドームでの試合はありません。
いってきますっ!!
金曜日の夜は奥さんと2人で、土曜日と日曜日のデーゲームはひとりで・・
がつんとドラゴンズに気合いをいれて応援して勝ってもらってきます。
今年は不景気でお客さんの入りが悪いので当日でも券が手に入ります。
お昼にドームの外のチケットセンターで入手してきました。
先発の予想は吉見くん→チェンくん→中田くんが
たぶん金曜日から投げてくれるかなと思っています。
ひょっとしたら日曜日に準規くんが帰ってくるかな?
今日は奥さんの撮影の下見のお供で
岐阜県恵那市の坂折の棚田まで出かけてきました。
かなり急な角度の山の東斜面に石垣を積んで作った棚田には
植えたばかりのイネが水面からひょろひょろと不揃いな列をなしてました。
僕は棚田のほのぼのとした田園風景もすきなんですけど
仕事柄、石垣に心を奪われてしまいます。
ろくな機械もなかった昔に、どうやって石を運んで積み上げていったのか
急な斜面ほど高く積み上げられた石垣、猫の額のように小さな水田を作り重ねる為に
どんな思いで積み上げていったのか。先人達の努力に思いを馳せると
感慨深いものがありました。
夕方に到着したので、斜面の反対側に太陽がいたので
残念ながら石垣には陽が当たってなくて上手く撮れませんでしたけど
次回は朝から出かけて、いっぱい石垣を撮ってきたいと思います。
坂折の石積み棚田
http://tabi.chunichi.co.jp/local/ena_tanada.html
いつろうのプロフィール
HN:
いつろう
性別:
男性
自己紹介:
牡羊座、B型
六白金星、身長183cm
スポーツ関係は左利きです
愛車はVWゴルフGTI改
愛機はMacBookPro
リビングで映画を見るのが好き
F1、WRC、ドラゴンズ好き
直倫くんと英智くんの大ファン
トイプの母娘達と遊ぶのが好き
GRD3で撮るのが好き。
牡羊座、B型
六白金星、身長183cm
スポーツ関係は左利きです
愛車はVWゴルフGTI改
愛機はMacBookPro
リビングで映画を見るのが好き
F1、WRC、ドラゴンズ好き
直倫くんと英智くんの大ファン
トイプの母娘達と遊ぶのが好き
GRD3で撮るのが好き。
最新コメント
[01/03 誰かさん]
[07/05 いつろう]
[07/04 you814]
[07/04 you814]
[05/26 mochaママ]
ブログ内検索
カウンター
